心肌梗死或许并非单纯的血管疾病,而是一种由感染触发的病症。芬兰和英国的科学家首次提出这一惊人发现,它颠覆了我们对心梗发病机制的传统认知,并为未来的治疗、诊断乃至疫苗研发开启了全新方向。
研究显示,感染可能是心肌梗死的隐秘推手。科学家借助先进技术发现,在冠心病患者体内,那些含有胆固醇的动脉粥样硬化斑块中,潜藏着一种由细菌在多年甚至数十年间形成的胶状生物膜。这些处于休眠状态的细菌,被厚厚的生物膜保护着,免疫系统无法识别,抗生素也无法穿透。
一旦受到病毒感染或外界刺激,生物膜被激活,细菌开始繁殖,随之而来的炎症可能撕裂斑块的纤维帽,血栓由此形成,最终引发心肌梗死。

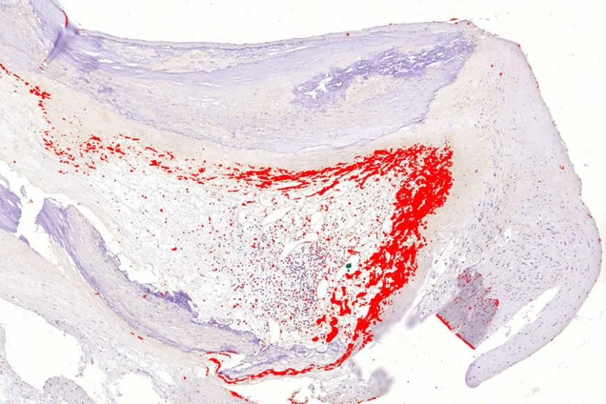
无症状的细菌生物膜衬着胆固醇负载的冠状动脉斑块
研究负责人Pekka Karhunen教授指出,以往人们普遍认为冠心病的起点是氧化的低密度脂蛋白,它们被身体识别为异物。但这一发现表明,细菌也可能是隐藏的元凶。
“长期以来,学界一直怀疑细菌与冠心病有关,但缺乏直接证据。我们的研究首次在动脉粥样硬化斑块中,检测到了多种口腔细菌的DNA。”Karhunen解释说。
为了验证,研究团队开发了针对这些细菌的抗体。意想不到的是,它揭示了动脉组织内完整的生物膜结构。而在心梗病例中,确实观察到生物膜释放出的细菌,免疫系统随之猛烈反应,引发炎症,刺破了充满胆固醇的斑块。
这些发现不仅为心梗诊疗带来全新思路,也让通过疫苗预防冠心病和心肌梗死成为可能。
此次研究由坦佩雷大学、奥卢大学、芬兰健康与福利研究所和牛津大学联合开展。研究所用组织样本来自猝死患者以及接受颈动脉或外周动脉清理手术的动脉粥样硬化患者。
本文译自 Tampere universities,由 BALI 编辑发布。

王摸鱼2025秋款拉链卫衣